Assessing adequacy of fetal growth when there is a clinical indication.
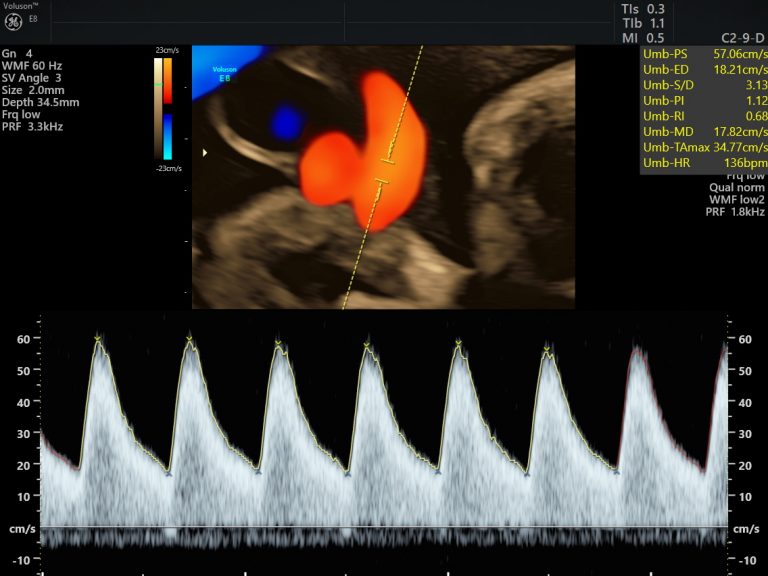
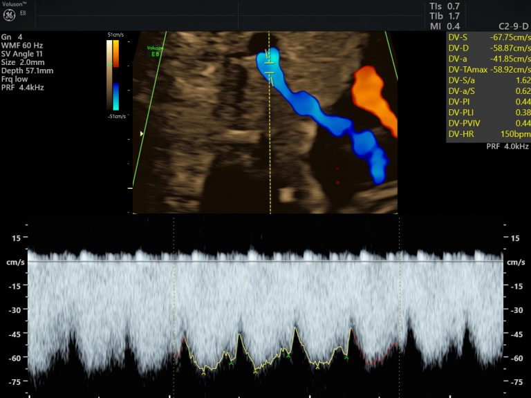
Small for gestational age babies are identified by obstetricians and referred to us for Growth and Doppler studies. This means we evaluated the adequacy of blood flow between the mom and placenta, baby and placenta as well as the flow into the baby’s brain. This information helps to plan the surveillance and delivery plan for the smaller baby meticulously. One always need to measure up the risk of being small intra-uterine, versus the risk of neonatal complications due to preterm delivery.



